[关节科] 【正骨科普】换了髋关节十几年,如今却行走困难……专家提醒:这个“保养” 日期:2026-01-06 17:04:00 点击: 好评:0
...
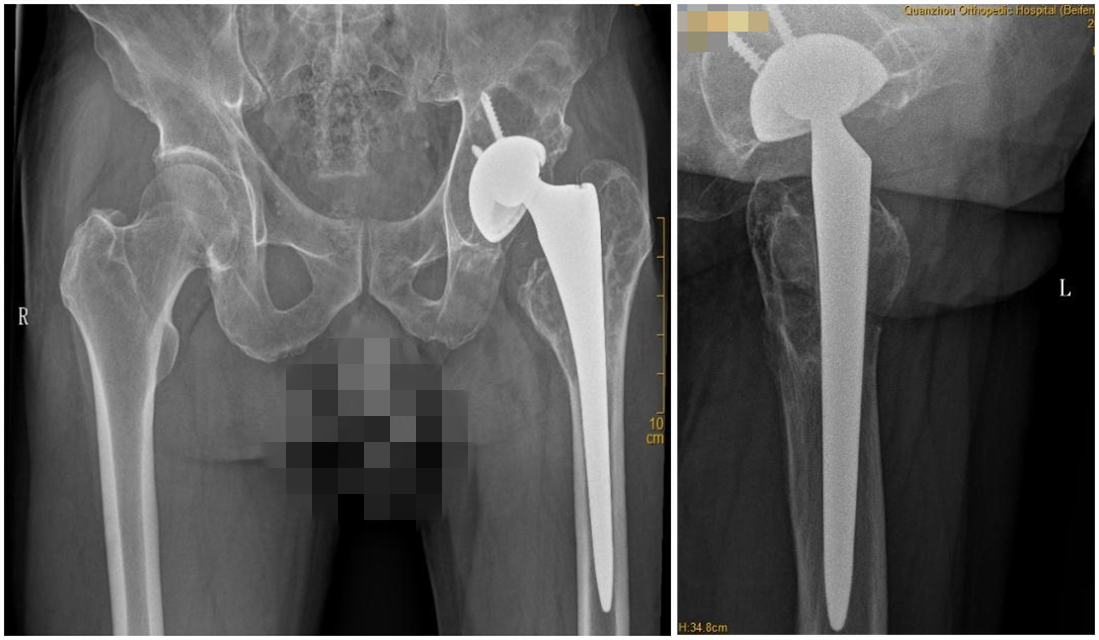
[关节科] 【正骨暖心】跨越国界的“关节保卫战”:我院关节科医生妙手治愈非洲友人 日期:2025-04-10 17:02:00 点击: 好评:0
...
[关节科] 【正骨技术】数字骨科助力骨肉瘤患者快速康复 日期:2024-09-25 16:36:00 点击: 好评:0
...
[关节科] 【正骨科普】保护膝关节,一定要避开这些误区! 日期:2023-02-02 11:37:21 点击: 好评:58
如何才能避开误区,做对做好膝关节保护?一起往下看看!...
[关节科] 福建省中医重点专科:泉州正骨医院关节科 中西结合为关节病患者提供个性化 日期:2018-08-29 10:48:38 点击: 好评:30
本报特邀泉州市正骨医院关节科科主任吴昭克副院长 本报记者张鸿鹏文/图通讯员黄玲艳 短短不到两个月,家住泉州安溪的林美花(化名)就做了两次髋关节人工置换手术。8月3日,在...
[关节科] 关节保养有妙招,且行且珍惜! 日期:2018-03-21 09:00:00 点击: 好评:-156
目前 全世界有3.55亿人患有各种关节疾病,我国的关节炎患者估计有1亿人以上,而且人数在不断增加。 其实,关节的寿命是有限的。一旦关节“气数已尽”,就会引发各种关节病! 关...
[关节科] 冷冬穿短裙 膝关节很受伤 日期:2018-01-18 09:14:00 点击: 好评:368
寒风嗖嗖的冬天,你是选择温度,还是风度?是把自己裹着严实暖和,还是短裙皮靴上身依旧美丽婀娜?不少爱美的女孩选择了后者。然而,美丽的同时却也付出了代价——她们的膝关...
[关节科] 膝关节酸痛被误判15年,终于找到元凶了 日期:2018-01-12 11:18:00 点击: 好评:-118
陈先生是泉州某公安分局一名警察, 15年前在一次执行任务中, 被一名骑车逃跑的犯罪嫌疑人拽倒在地, 受伤后几天膝关节稍有肿胀酸痛不适, 接下来因工作忙碌陈先生没在意, 但是在接...
[关节科] 膝关节内侧疼痛,小心“鹅足”在作怪 日期:2017-11-29 15:26:00 点击: 好评:34
说到膝关节疼痛 跑友们并不陌生 朋友圈经常有人晒健身及运动成果 但运动时也要注意自我保护 切勿过由不及 你是否有过? 在一阵长跑或蹲久之后 膝盖的下内侧有疼痛的感觉 而且在...
[关节科] 运动不当 小心患上骨关节炎 日期:2017-10-15 18:25:00 点击: 好评:68
“近几年,骨关节炎发病率上升明显。来正骨医院骨关节科就诊的病人中,膝骨关节炎就占了门诊量的50%以上。”泉州市正骨医院关节骨病科副主任医师谢庆华初步统计。 据介绍,骨关...